症例1
症例1の患者情報
70歳代,女性。
約1年前から緩徐に増悪する右大腿部の腫脹を主訴に受診。CTおよびMRIを施行した。
乳癌,子宮体癌術後。
症例2
症例2の患者情報
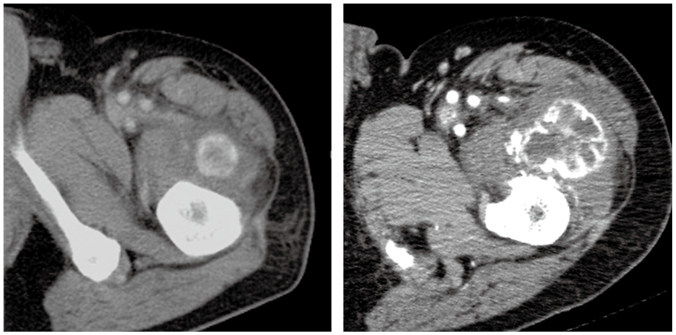
50歳代,男性。
約半年前から運動時に左大腿部の違和感が出現。徐々に疼痛を伴うようになってきたため受診。初診時(上段)および8カ月後(下段)のCTを示す。
症例1
症例1の患者情報
70歳代,女性。
約1年前から緩徐に増悪する右大腿部の腫脹を主訴に受診。CTおよびMRIを施行した。
乳癌,子宮体癌術後。
症例2
症例2の患者情報
50歳代,男性。
約半年前から運動時に左大腿部の違和感が出現。徐々に疼痛を伴うようになってきたため受診。初診時(上段)および8カ月後(下段)のCTを示す。