検索

×
絞り込み:
124
カテゴリー
診療科
コーナー
解説文、目次
著者名
シリーズ

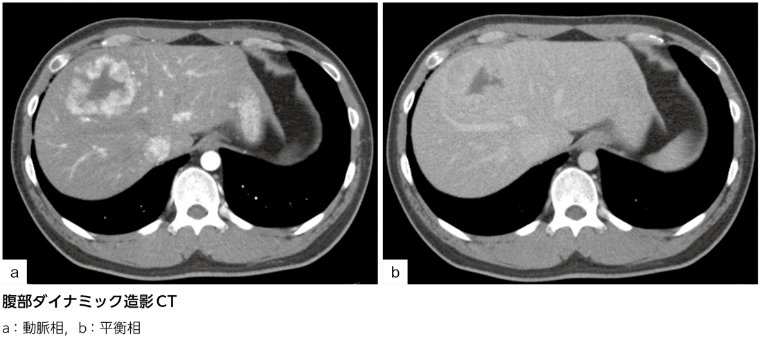
多血性腫瘍……診断は?[画像診断道場~実はこうだった(327)]

登録日: 2025.11.05 最終更新日: 2025.11.10

梁井由香子 (日本医科大学武蔵小杉病院 消化器外科) 谷合信彦 (日本医科大学武蔵小杉病院 消化器外科) 許田典男 (日本医科大学武蔵小杉病院 病理診断科)

お気に入りに登録する

23歳,男性。
耐糖能障害を指摘され,血糖値コントロール目的で当院内科へ入院となった。入院中に施行した腹部ダイナミック造影CTで上記画像所見を認めた。
既往歴:なし。
飲酒歴:20歳~ビール350mL週4回。


1 2