医療プロフェッショナルの情報ハブ 臨床に役立つ情報をお届けします
検索
0
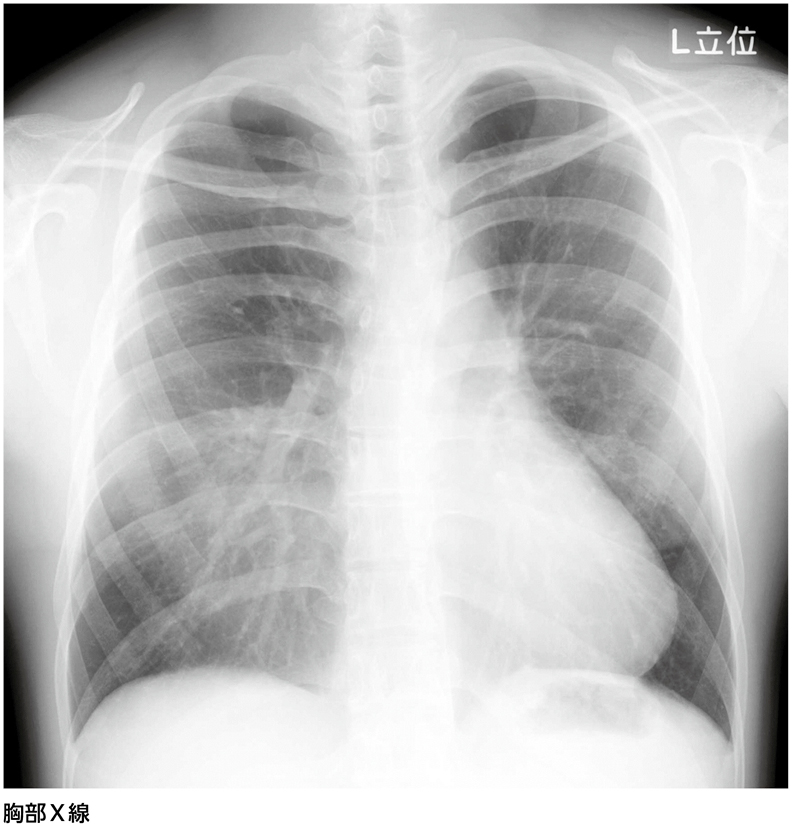
TOP > Web医事新報を読む > 肺炎? 中葉無気肺? ……診断は?[画像診断道場~実はこうだった(330)]
登録日: 2025.12.11 最終更新日: 2025.12.11
岡林 賢 (東京警察病院呼吸器科 副部長) 青野ひろみ (東京警察病院呼吸器科 部長)
コーナー:
診療科 :
20歳代,男性。健康診断の胸部X線検査で胸部異常所見を指摘された。自覚症状はない。