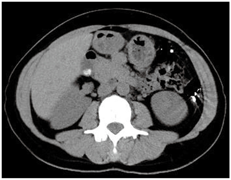
症例1
症例1の患者情報
40歳代,女性。
胆囊結石follow up目的に腹部CTを施行。
腹部症状はなし。
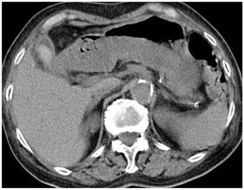
症例2
症例2の患者情報
80歳代,女性。
悪性リンパ腫治療中に発症した誤嚥性肺炎に対し,セフトリアキソン(CTRX)投与後。
腹部症状はなし。
症例1
症例1の患者情報
40歳代,女性。
胆囊結石follow up目的に腹部CTを施行。
腹部症状はなし。
症例2
症例2の患者情報
80歳代,女性。
悪性リンパ腫治療中に発症した誤嚥性肺炎に対し,セフトリアキソン(CTRX)投与後。
腹部症状はなし。