検索

×
絞り込み:
124
カテゴリー
診療科
コーナー
解説文、目次
著者名
シリーズ

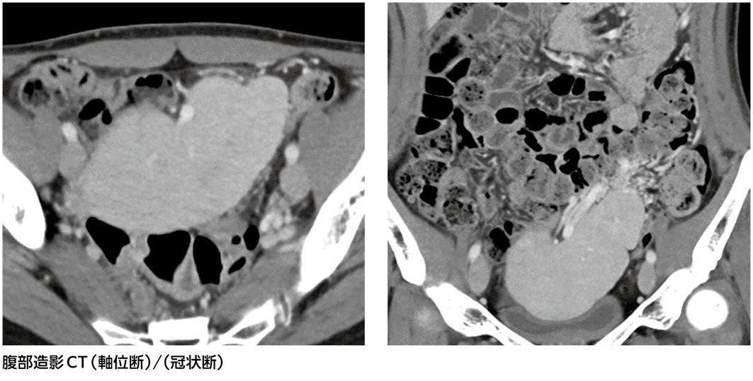
骨盤内腫瘍?それとも……[画像診断道場~実はこうだった(329)]

登録日: 2025.11.26 最終更新日: 2025.11.26

本条 隆 (大阪市立総合医療センター放射線診断科医長)

お気に入りに登録する

20歳代,女性。
前医で骨盤内腫瘍を指摘され当院へ紹介受診。
自覚症状なし。半年前から卵巣内膜症性囊胞による月経困難症の治療中。
妊娠出産歴はなく,月経周期は整。内診で強い疼痛あり。採血で特記所見なし。


1 2