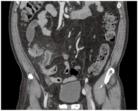
症例1
症例1の患者情報
70歳代,女性。
前医にて右乳癌精査中に偶発的にS状結腸癌を指摘され,CTCを施行。
既往歴:右乳癌。
身体所見:特記所見なし。
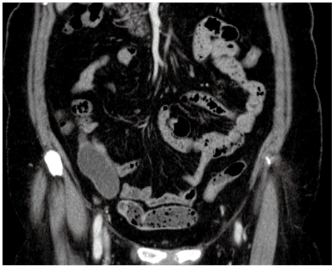
症例2
症例2の患者情報
60歳代,男性。
昼頃から右下腹部痛が出現し来院。前日夜から38℃台の発熱あり。WBC 10.9×103/μL,CRP 22.4mg/dL。
既往歴:糖尿病,胆石症。
身体所見:McBurney点を最強とする圧痛/反跳痛あり。
症例1
症例1の患者情報
70歳代,女性。
前医にて右乳癌精査中に偶発的にS状結腸癌を指摘され,CTCを施行。
既往歴:右乳癌。
身体所見:特記所見なし。
症例2
症例2の患者情報
60歳代,男性。
昼頃から右下腹部痛が出現し来院。前日夜から38℃台の発熱あり。WBC 10.9×103/μL,CRP 22.4mg/dL。
既往歴:糖尿病,胆石症。
身体所見:McBurney点を最強とする圧痛/反跳痛あり。